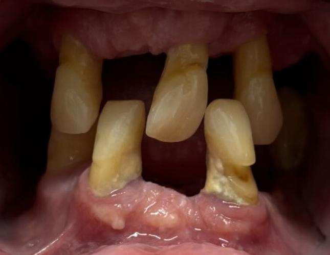
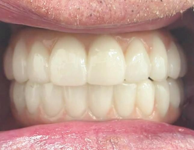
Dale C's Case

Dale has overcome significant challenges in his life, and his smile was one of the last reminders of a difficult past. After making powerful, positive changes, he took the final step toward a fresh start — restoring his smile with the help of Dr. Matheson and our team. The moment he saw his new smile, his confidence transformed instantly. A powerful reminder of why we do what we do.

Anonymous
Before
After