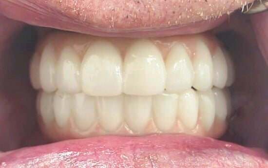
Shannon C's Case
Shannon struggled for years with missing teeth, affecting how she spoke, how she ate, and how she felt day to day. Simple moments—like being understood at a drive-thru or enjoying her favorite foods—became frustrating challenges. With All-on-X dental implants, Shannon restored her smile, her confidence, and her quality of life. Those struggles are now a thing of the past.
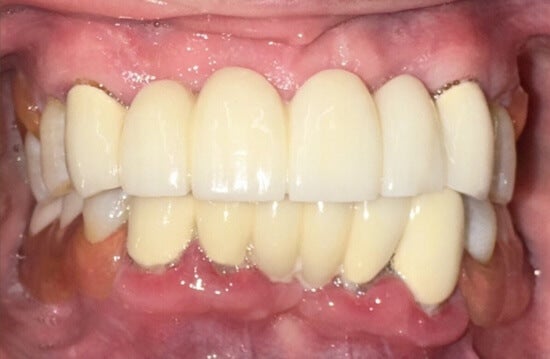
Sean C's Case
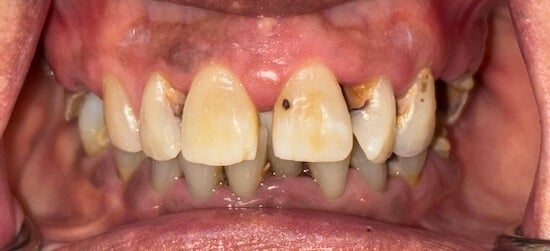
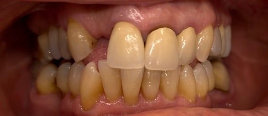
Over the years, Sean’s teeth had taken a lot of damage, affecting both his smile and his overall appearance. With All-on-X dental implants, his transformation is undeniable—his entire face has a new level of confidence, and he finally feels like himself again.
Debra K's Case
Debras' vibrant personality now matches her vibrant smile. She is ecstatic about her smile and newfound confidence.
Marc H's Case
Mark’s transformation goes far beyond his teeth. His wife shared that his new smile has truly changed their lives. He smiles more, talks more, and his contagious personality shines brighter than ever. Mark loves his dental implants—and celebrated with a well-earned prime rib as his first meal.
Allison S's Case
Allison has always been outgoing and full of life, never letting her teeth define her smile. Now, with her new dental implants, she not only looks years younger—she feels it too, with a renewed sense of confidence and energy.
Troy D's Case
Troy had been holding back for years—embarrassed to smile and hesitant to seek help after past judgment. After a free consultation with Dr. Matheson, he knew this was different. The care, the respect, and the experience gave him the confidence to move forward—and even bring his wife Sandra along for the journey. Now, their transformation is incredible. Both are smiling brighter than ever and enjoying the foods they love with no limitations.
William B's Case
William had the personality—he just needed the smile to match. After All-on-X dental implants, his confidence did a complete 180. Now he can’t stop smiling… and he’s ready for his first steak in years.
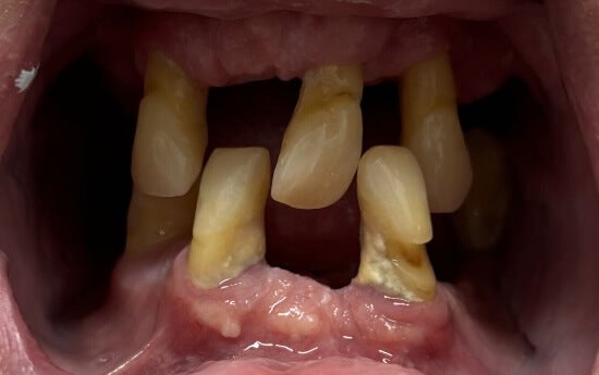
Anil K's Case
Anil had only a few teeth remaining, and they were severely compromised. He wanted to smile freely again—without hiding—and share his happiness with his family without feeling self-conscious. After receiving dual arch dental implants, those struggles are now behind him. His confidence is back, and his family loves his new smile.
Maria V's Case
Maria had a missing front tooth that was hard to hide when she spoke or smiled, and it held her back from fully expressing herself. After choosing a crown and bridge, her results have been phenomenal. She’s smiling more than ever and only wishes she had done it sooner.
Suzanne C's Case
Suzanne had extensive dental needs, and her oral health was beginning to impact her overall well-being. Years of grinding had also taken a toll on her teeth. After receiving All-on-X dental implants with Dr. Matheson and his team, her transformation was so powerful it brought her to tears. Her smile—and her health—have been completely restored.
Bill D's Case
Bill knew something had to change—his smile was holding him back, and eating had become a challenge. After his consultation with Dr. Matheson, he moved forward with All-on-X dental implants—and got exactly what he was looking for. Confidence restored. Life improved.
Todd L's Case
For Todd, chipped and broken teeth made everyday life difficult—eating hurt, and smiling didn’t feel natural anymore. He knew something had to change. After receiving All-on-X dental implants with Dr. Matheson, everything changed. His confidence is back, his energy is different, and he finally feels like himself again.
Dale C's Case
Dale has overcome significant challenges in his life, and his smile was one of the last reminders of a difficult past. After making powerful, positive changes, he took the final step toward a fresh start — restoring his smile with the help of Dr. Matheson and our team. The moment he saw his new smile, his confidence transformed instantly. A powerful reminder of why we do what we do.
Rick A's Case
Worn-down veneers led to bigger problems for Rick—pain when eating, gum issues, and even bone loss. He chose a long-term solution with full-arch All-on-X dental implants—and the transformation speaks for itself. Natural look, no more pain, and total confidence.
Steve's Case
Steve wanted a smile that felt like him again. Crowns helped turn back the clock, restoring his teeth and his confidence—now he can’t stop smiling.
Pagination
Get a brighter smile today!
Contact us now to schedule your appointment and have the smile you've dreamed about!