Javascript must be enabled for the correct page display
Hours & Contact
Monday - Thursday:
8:00am - 4:00pm
Friday:
7:00am - 12:00pm
Have a question? Give us a call!
(480) 888-8123
facebook
instagram
youtube
yelp
google
Main Menu
Menu
Smile Gallery
Implant Services
Dental Implants
All-On-4
Dentures
3 Reasons to Ditch Dentures
TeethXpress® Implants
Ultratooth
Implant-Supported Dentures
Robotic Precision
All-on-X
Full Arch Dental Implants
Implant Restoration
Single Tooth Implants
Family Dentistry
Emergency Dentistry
Wellness
Preventive Care
Digital Imaging
Silver Diamine Fluoride
Sleep Apnea
Bad Breath
CBCT Imaging
Cavities
Digital Scanning
Laser Dentistry
Mouth Guards
Night Guards
Oral Cancer Screening
Oral Health
Tooth Decay
Family Dentistry
Pediatric
Treatment Plans and Pricing
Restorative
Crowns & Bridges
Dental Fillings
Laser Periodontal Therapy
Teeth In A Day
Cosmetic
Smile Makeover
Orthodontics
Veneers
Teeth Whitening
CandidPro
At Home Teeth Whitening
Gum Recontouring
Gummy Smiles
Overbite
Oral Surgery
Periodontics
Bone Grafting
Gum Grafting
Root Canal
Wisdom Tooth Removal
Sedation in Dentistry
Sinus Lift
WaveOne Root Canal Therapy
Dental Services FAQ
Dentist in San Tan Valley, AZ
About Us
Meet the Team
Management
Providers
Support Staff
Testimonials
Office Tour
Blog
Community Involvement
Patient Info
Forms
Insurance & Financing
Post Op Instructions
Special Offers
Find a Dentist
Request an Appointment
Search
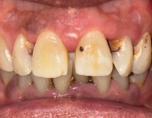
Debra K's Case
Anonymous