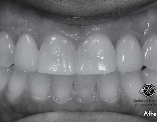
T.H. had been missing two of her front teeth her entire life. She was tired of using her removable flipper denture to cover up the holes in her smile. She received dental implants in place of her missing teeth.
T.H. had been missing two of her front teeth her entire life. She was tired of using her removable flipper denture to cover up the holes in her smile. She received dental implants in place of her missing teeth.